Gragas
Coming Soon
Unlocking Low-Field
MRI Potential
AI-powered reconstruction for portable and low-field MRI. Our models compensate for lower signal-to-noise ratios, delivering high-quality images.
PREVIEW
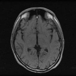
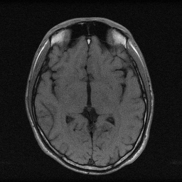
See the Difference
Drag the slider to reveal how our AI reconstructs high-quality low-field images from undersampled k-space


AI Enhanced
Cartesian
M4Raw dataset
OUR PROCESS
How Gragas Works
From pretrained model to production-ready solution for your scanner
Pretrained Model
Learns reconstruction, data fidelity, clinical alignment
1
Fine-tuning
Customized for your scanner
2
Local Deployment
Runs on your hardware, no cloud required
3
Pretrain
Fine-tune
Deploy
CONTACT
Get in Touch
Interested in learning more about our technology? We'd love to hear from you.